肺癌伴随心包积液(肺癌性心包积液)该如何治疗
taptap点点官网
2022-03-09 09:39:39发布
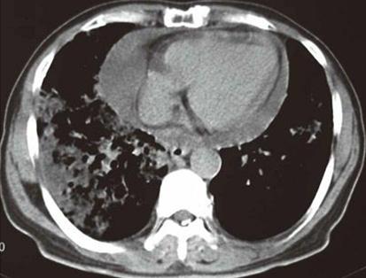
虽然肺癌伴随心包积液没有肺癌伴随胸腔积液那么常见,但也并不少见。人体的心包腔是包绕在心脏外的密闭腔隙,正常情况下存在20~40毫升的液体,对心脏的活动起到“润滑”的作用。当肺癌细胞通过肺部的血液循环进入心室腔,并通过冠状动脉被进一步运送到心脏表面,进而移行入心包腔(内行途径),或通过癌细胞向心包的直接侵犯(外行途径),或因肺癌肿块压迫了心包的淋巴回流(阻塞途径)等,都可造成肺癌性心包积液。

肺癌心包转移致心包积液
肺癌性心包积液的治疗方法与肺癌性胸腔积液的治疗类似,也包括局部治疗和全身治疗。不同的是,心包积液在穿刺的过程中造成心脏损伤的风险较大,若在B超的引导下进行,可以提高穿刺的成功率,降低心脏损伤的风险。
上一篇
肺癌伴随胸腔积液(肺癌性胸腔积液)该如何治疗
肺癌常出现胸膜腔的转移,造成胸腔积液。胸腔积液的量较少时,患者不会因此而出现明显的不适,当出现较大量的胸腔积液时,出现胸腔积液一侧......
下一篇
中医对肺癌的认识及治疗原则
中医药是祖国医学的瑰宝,是不同于西医药的另一医学体系。中医文献中虽无肺癌之名,但根据其临床表现,将其归属于肺积、息贲、咳嗽等范畴。......
