何谓“转移性肺癌”,与肺癌有什么区别
taptap点点官网
2022-03-10 09:44:01发布
所谓的“转移性肺癌”,指的是全身任何部位的癌症通过血行转移、淋巴转移、直接浸润、气管种植等方式转移到肺部所继发形成的“肺癌”。而通常我们所说的肺癌,都是指原本就发生在肺部的恶性肿瘤。

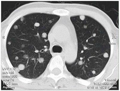
双肺转移癌
全身很多部位的癌症都可以转移到肺部。最常见的有甲状腺癌、乳腺癌、肾癌、绒毛膜癌、骨肉瘤等,肺部转移发生率为60%~90%;其他较容易转移到肺部的恶性肿瘤包括肺癌(从一个肺叶转移到其他肺叶)、肝癌、胃癌、结直肠癌、前列腺癌等,肺部转移发生率为35%~55%。
上一篇
为什么有些肺癌患者需要口服甲羟孕酮
肺癌患者,尤其是一些中、晚期肺癌患者,常出现食欲不振或睡眠不佳的状况,医生会给予这些患者口服一种叫甲羟孕酮的药物。甲羟孕酮是一种孕......
下一篇
怎样发现和诊断“转移性肺癌”?
转移性肺癌多数没有特征性的临床表现,甚至大多数(2 3)患者没有症状,少数(1 3)患者会出现不同程度的咳嗽、咳痰、咯血、胸痛、气急等症状......
