肺癌可能有哪些早期的“蛛丝马迹”?
在肺癌发生时,即使在很早期,由于体内内分泌等因素的改变,可出现一些“蛛丝马迹”,这些“蛛丝马迹”极易被忽视,而如果能及早发现、认识这些“蛛丝马迹”,并及时进行深入的检查,对于肺癌的早期发现具有极为重要的意义。
一些肺腺癌或小细胞肺癌的患者,可能会在肺癌发生的过程中不明原因地出现脸如满月、面色潮红、腰背肥厚、易长痤疮等现象,临床上称为“库欣综合征”,而这些易长痤疮的患者并非是痤疮多发的青少年。统计学资料表明,在一些肺癌被诊断前平均1~2年的时间里,患者会在没有高盐、精神紧张等高血压的高危因素存在的情况下,被诊断出“高血压”,此类“高血压”的产生可能与肿瘤发生后体内内分泌因素的改变有关。

皮肌炎
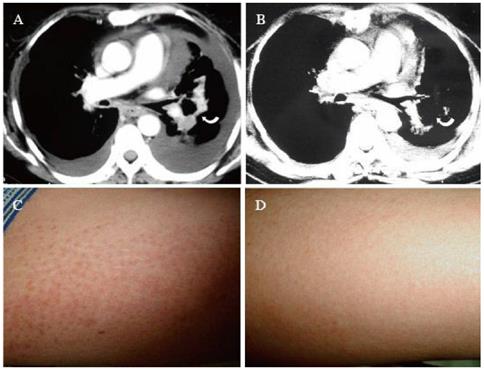
一些非小细胞肺癌尤其是肺腺癌的患者,可能在诊断前平均约2年内的时间里,在脸部、颈部、上胸、背部、双侧肘部、双手背侧的关节等部位出现对称性皮疹,皮疹的颜色大多为暗红色,一些病情进展迅速的偶尔也可呈猩红色,这些皮疹在给予外用激素类药物治疗后可以短暂褪去,但很快又会再次出现,出现皮疹的同时有时会伴有肌肉的酸痛。上述现象在临床上被称为“皮肌炎”,这是一种已被证实与内在恶性肿瘤密切相关的体表现象。

一患者的皮肌炎表现在肺癌得到控制后完全消除
一些肺鳞癌患者,可能在诊断前平均约2年内的时间里,会出现手指或脚趾末端的肿胀、肥厚,或大关节如膝关节的肿痛,症状与类风湿关节炎相类似,而类风湿相关的检查指标却是阴性,在临床上被称为“肺性肥大性骨关节病”,病变在手指或脚趾末端时,被称为“杵状指(趾)”。
还有一些肺癌患者,当病灶在体内快速进展的时候,可出现肌无力等症状,患者四肢的力量明显减小,不能拿起重物,不能长时间行走,甚至不能长时间直立,即出现所谓的“神经肌肉综合征”。

与肺癌相关的杵状指(趾)
另有一些肺癌患者,可出现食欲不振、恶心、呕吐、乏力、嗜睡、定向障碍等水中毒症状,即所谓的“抗利尿激素分泌失常综合征”,患者的食欲不振和体重减轻还可能与“肿瘤-厌食-恶病质综合征”有关。
需要指出的是,上述症状表现并非只出现于肺癌,在出现这些症状时,最适当的做法是就诊于专科医师,由其协助排除肺癌。
