日本质子治疗:前列腺癌
质子治疗的主要特点是只对病变部位进行精确的质子束照射而不损伤周围正常细胞,副作用小,对身体的负担较小。因此对患有心脏病等其他疾病的老年人或体弱患者是一种非常有效的治疗方法。同时,从降低身体生长发育的影响,预防继发性癌症的角度来看,也是一种对儿童和青少年患者非常友好的治疗方法。

前列腺癌的质子治疗
前列腺癌的治疗方法包括手术治疗、放射治疗和激素治疗。具体的治疗方法由医生根据血液检查、影像学检查和病理检查的结果来判断。
前列腺癌的恶性程度并不统一,分活跃型和安静型两种类型。因此,质子束照射的区域是整个前列腺,照射后癌细胞被杀死,而正常细胞和周围组织则以最少的治疗量剂量和次数得到治疗。
治疗优势
在放射治疗中,质子治疗是最有效、最安全的方法之一。在日本,前列腺癌是使用质子治疗最广泛的部位。治疗的可信赖度高,不会引起尿失禁,男性性功能(勃起、射精机能)可以得到保存。

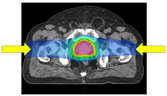
(图)质子治疗前列腺癌:从左右两个方向进行照射可提供集中在前列腺上的良好剂量分布。
治疗条件
@无其他器官,骨头以及淋巴结的转移。
@待治疗部位以前没有接受过放射治疗。
@无广泛转移。
@即将接受治疗的部位既往未接受过放射治疗。
前列腺癌根据病变状态分为低危、中危、高危三类。低危组单独使用质子治疗,中危组和高危组可联合激素治疗以提高治疗效果。

治疗注意事项
1.为了进行更精确的照射,可能将自动铅笔芯大小的金属标记插入前列腺。
2.在治疗床上需要保持一个姿势约60分钟。
治疗流程
治疗准备(7~10天)
每个人的前列腺大小以及与距离直肠和膀胱的距离都不同,就像身高和体重不同一样。因此,在使用质子治疗前要针对每个患者设定范围和深度。另外,在照射前,对盆内部进行X射线拍摄,以1mm为单位调整前列腺的位置,进行准确的治疗。
治疗(约5周)
治疗次数和持续时间取决于疾病的状况(癌症类型和大小等)。每周周一~周五门诊治疗5天,持续约5周。一次治疗大约需要15~30分钟。照射本身只需要几分钟。

治疗效果
泌尿外科定期检查,并以PSA值为指标评价疗效。
根据格里森评分和PSA值,前列腺癌分为五个疾病风险阶段。
接受质子治疗的患者的5年结果(PSA无复发率)为:
1.超低/低/中风险为95% +
2.高风险为80% +
3.超高风险为70% +
治疗副作用
治疗期间
可能出现尿频、排尿困难,较少见,治疗完成后症状会自然改善。
治疗后
可能出现的症状:便血、血尿。
・直肠出血/发生率(需要治疗的出血):约2% 发生时间:6个月~2年后
・尿道出血/发生率(需要治疗的出血):约2% 发生时间:大约2~5年后
治疗费用
日本质子治疗的费用20万人民币(约350万日元)左右,与国内质子治疗费用相当。
推荐医院

日本国内质子治疗机构目前有19个。其中,筑波大学附属医院的质子治疗中心是治疗肝癌病例数最多的机构。
