日本罕见癌研讨会:神经内分泌癌的新疗法开发-IVR治疗(2)
IVR 还可通过射频消融疗法和冷冻疗法治疗癌症

日本国立癌症研究中心中央病院-诊断放射科和IVR中心主任-菅原俊佑
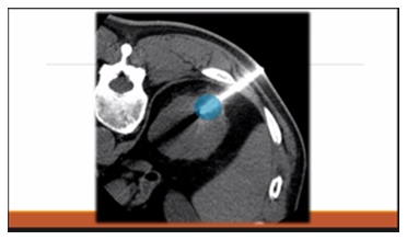
来自日本国立癌症研究中心中央病院放射科诊断和IVR中心主任-菅原俊佑介绍了“罕见癌症的消融治疗”。消融治疗属于介入治疗IVR ,是在观看超声或 CT 等图像的同时将针从体表插入病灶,通过改变温度杀死癌细胞的一种方式,可以在局部麻醉下进行。具体有两个类别:使用无线电波或微波等高频电磁波将病灶温度提高到 80 ~90°C 来烧灼病变的方法,以及使用氩气将病灶冷冻到约 -160°C以杀死癌细胞的冷冻疗法。医保范畴内的癌症消融治疗中,微波消融治疗仅适用于肝癌,射频消融治疗适用于肝癌、肾癌、乳腺癌、肺癌、骨癌、软组织癌和盆腔内癌症,而冷冻治疗仅适用于肾癌。

微波消融治疗中使用的针比其他消融治疗中的针稍粗。针插入后,消融区域通过电流的功率和时间进行调节。而射频消融治疗时,消融范围根据针的类型进行调整,目前在日本可以消融1~3厘米的范围。
冷冻治疗的针和微波消融的针差不多。在影像设备的引导下,将针插入患者体表,高压氩气在针内循环,针尖的温度迅速下降破坏肿瘤。这种方式与射频消融不同,主要优势在于在治疗实施的过程中可以实时检测冷冻区域。

最大优点是低侵袭,但大小和数量有限
消融治疗的优点在于比手术侵入性小,可以治疗身体深处部位,并且治疗范围可以调整。然而,为了保留器官功能,可治疗病灶的大小和数量受限,通常病灶为3~55个病灶。缺点在于当病灶距离血管较近时治疗效果会下降。
当其他器官距离肿瘤较近时可能会受到损伤,因此在进行消融治疗时,保持肿瘤与正常组织之间的距离很重要。例如,当肿瘤靠近大肠时需要注入水或气体,以在肿瘤和大肠之间暂时创造空间,将针插入肿瘤进行消融治疗。
癌症消融治疗的目的有两种,旨在彻底治愈疾病的抗肿瘤治疗和旨在减轻相关症状的姑息治疗。

抗肿瘤治疗要求原发肿瘤未发生转移,或者即使有转移,转移的数量有限。当病灶局限于局部且数量有限时(这种情况称为寡转移),也会对转移性病灶进行消融治疗。
消融治疗可减轻骨转移等引起的疼痛
在抗肿瘤治疗时,彻底消灭肿瘤很重要,因此需要充分消融比肿瘤大一圈的区域。例如,当恶性黑色素瘤等肿瘤在肝脏上只有一个小转移灶时,射频消融治疗可以将肿瘤彻底烧毁。另外,对于恶性软组织肿瘤(肉瘤)的微小肺转移,也可能通过消融治疗来达到完全的局部控制。

当消融治疗作为姑息治疗时,主要目的是为了减轻疼痛。没有症状则不适用。原则上对于病灶没有大小或数量的限制。随着2022年10月(日本)医保范围的扩大,骨骼、软组织和盆腔内肿瘤的消融治疗已纳入保险范围。
消融治疗无需烧毁所有肿瘤即可减轻症状,因此治疗可以更安全地进行。例如,可用于因癌症骨转移而遭受剧烈疼痛的患者,这种治疗可以帮助他们减轻疼痛。IVR疗法(包括消融治疗)的要点是,对比手术,对身体的侵入性更小,对身体造成的负担更小。IVR疗法也是姑息治疗的一种选择。
IVR也可用来治疗癌症并发症

桥本先生是 GISTERS 患者协会的成员,正在接受直肠 GIST 治疗。在盆腔内所有器官摘除手术和增设人工肛门和人工膀胱手术后2年,因出现肾积水进行肾脏造瘘,并接受了 IVR 治疗。肾积水是指肾脏产生的尿液不能排出体外而导致尿道和肾脏积水,出现扩张的疾病。肾脏造口是在后背部打孔,放置导管以确保尿液排出的方法。桥本先生因出现发烧、呕吐、背痛被送往医院急诊,被诊断为肾积水。
“在被诊断患有肾积水两小时后,在介入放射科,医生通过我背部的一个小孔将一根管子插入我的肾脏,实施了肾造口术,并在我的腹部安装了人工膀胱,我背部的两个肾瘘管都能够排出尿液了。第一次听说肾造口,所以很紧张,但发烧、呕吐、背痛的症状一下子就感觉好多了。使用 IVR 进行的肾造口术对身体造成的伤害很小,而且我能够继续服用GIST治疗药物了”桥本说。

确诊肾积水第十一天,出院三天后,背部的肾造口暂时闭合,桥本先生得以继续计划已久的夏威夷之旅。回到日本后,他再次通过肾造口排出尿液。5个月后病情稳定,肾造口关闭。
如何找到可使用 IVR 治疗的医院?
当被问及 "日本有多少家可以进行 IVR 的机构,在哪里? IVR有很多类型,每个机构的治疗方式都相同吗?“时,日本国立癌症研究中心罕见癌症中心/中央病院放射诊断课主任,IVR中心主任曽根美雪女士回答如下。
IVR通常由放射诊断科的医师进行,但有时也由急诊科、内科和外科进行。日本介入放射学会(IVR)在日本全国共有341个专业培训机构(截至 2023 年11月)。各机构实施的 IVR 类型各不相同,例如,通过IVR进行肾造口术的机构非常少,大多数机构都是动脉栓塞术。
要了解哪里可以进行 IVR 治疗,可以在日本 IVR 协会网站 (https://ivr-search.jsir.or.jp/) 上的 "IVR 医院搜索(培训机构)"中按地区和类型进行搜索。
关于 IVR 治疗的住院时间,"这取决于医院和患者的病情。在国立癌症研究中心医院,肾癌的冷冻疗法和肝肺肿瘤的射频消融术需要4~5天,肝动脉化疗栓塞术如果不发烧,大约需要5天,但如果发烧,可能需要8天。根据 IVR 的类型不同,有些治疗无需住院,当天内完成。
日本 IVR 协会在其网站上发布了一个面向大众的视频,名为 "关于 IVR"。 有需要的患者和家属也可以进行参考。
相关链接:
