-
乳腺癌相关淋巴水肿:日常生活中危险因素
为了预防乳腺癌治疗后出现淋巴水肿,建议患者在日常生活中避免感染和创伤等风险。但事实是,医疗界尚缺乏研究... -
日本罕见癌研讨会:神经内分泌癌的新疗法开发-IVR治疗(2)
IVR 还可通过射频消融疗法和冷冻疗法治疗癌症日本国立癌症研究中心中央病院-诊断放射科和IVR中心主任-菅原俊... -
日本罕见癌研讨会:神经内分泌癌的新疗法开发-IVR治疗(1)
日本国立癌症研究中心和北海道大学于2023年11月,举办了以IVR(影像引导治疗 放射导管治疗)——通过2毫米针孔... -
日本国家癌症研究中心2023年罕见癌症研讨会 神经内分泌癌的标准治疗和新疗法开发(2)
要点4:约10%的最终诊断与最初诊断不一致这项临床试验还揭示了一些次要发现。EP治疗导致发热性中性粒细胞减少... -
日本国家癌症中心2023年罕见癌症研讨会 神经内分泌癌的标准治疗和新疗法开发(1)
2023年11月,日本国立癌症研究中心、日本爱知县癌症中心和日本九州大学医院在线召开了主题为神经内分泌癌(NEC)... -
日本胃癌专家详解: 全球首款靶向CLDN18.2的佐妥昔单抗(Zolbetuximab)的有效性
2024年3月,日本厚生劳动省批准了抗CLDN18 2抗体zolbetuximab的新药上市申请。该药将成为HER2阴性、不可切除... -
日本已开发出检测早期胰腺癌的方法
包括东京大学在内的一个联合研究小组宣布,他们已经开发出一种检测方法,可以检测相对早期胰腺癌患者血液中异... -
早期乳腺癌:无需手术 射频消融治疗成为微创新疗法,已纳入日本医保
2023年12月,日本国立癌症研究中心宣布使用射频消融(RFA)治疗早期乳腺癌已纳入日本国民医保。采用射频消融技术... -
日本如何看待局部晚期胃癌的新辅助化疗(NAC)《二》
第 77 届日本胃肠外科学会共识会议上爱知县癌症中心药物治疗科的Kei Muro博士以《dMMR MSI-H 胃癌围手术... -
《新英格兰医学杂志》(NEJM)尿路上皮癌:ADC+免疫药物联合或可延长生存期
2024年3月7日,发表在《新英格兰医学杂志》(NEJM)的一项3期试验表明:在局部晚期 转移性尿路上皮癌患者的一线... -
JSMO2024 日本临床肿瘤学会 终末期癌症治疗真的有必要输液吗?
癌症患者,尤其是终末期癌症患者的最适当的输液量是多少?在第21届日本临床肿瘤学会年会(JSMO2024)举办的题目为... -
非小细胞肺癌:到底该术前还是术后进行辅助治疗?
在2023年度欧洲临床肿瘤学会(ESMO Congress 2023)的一次特别会议上,专家们提出了一个问题:可切除的非小细... -
日本如何看待局部晚期胃癌的新辅助化疗(NAC)
新辅助化疗,也称术前化疗。顾名思义,就是在实施局部治疗方法(手术或放疗)前先进行全身化疗,英文缩写NAC。*以... -
利用AI预测早期结直肠癌淋巴结转移 可减少超三分之一的过度治疗!
早期结直肠癌内镜切除后是否行追加手术切除是根据现行指南确定的。而接受追加治疗病例的淋巴结转移(LMN)率并不... -
JSMO2024日本临床肿瘤协会力争实现结直肠癌ICI联合治疗!
截至目前,只有2%的结直肠癌患者会从免疫检查点抑制剂(ICI)中受益。医学界正在开发治疗方法试图来改变这一状况... -
JSMO2024日本临床肿瘤协会公布新ADC药物(I-DXd/DS-7300)实体肿瘤的治疗数据
针对于既往接受过治疗的晚期或转移性实体瘤患者,一款靶向B7-H3的新ADC药物ifinatamab deruxtecan(简称I-DXd... -
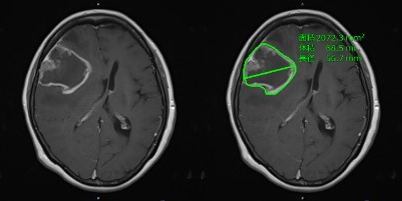
日本国立癌症研究中心联手日本富士胶片开发AI技术以提高神经胶质瘤图像评估的准确性
概述日本国立癌症研究中心和日本富士胶片株式会社已经共同开发了从MRI图像中精确提取神经胶质瘤数据的人工智能... -
日本安斯泰来公布女性更年期新药试验数据
潮热是更年期症状之一,会降低生活质量。到目前为止,药物治疗主要集中在激素替代疗法(HRT)和中药,但现在新药... -
日本设立IgG4相关疾病中心并开始新药试验
IgG4相关疾病是一种原因不明,与免疫球蛋白G(IgG)的抗体成分之一IgG4相关的全身性疾病。该病会导致全身各个器... -
全球每12人中有1人罹患消化道肿瘤,每16个人中有1人死于消化道肿瘤
消化系统癌症占全球癌症病例的四分之一,癌症相关死亡的三分之一。中国医学科学院 北京协和医学院的Shaoming...
